名古屋発!もっと知りたいインプラント は、名古屋市中区にあるナディアパークデンタルセンターが運営しています。

名古屋発!もっと知りたいインプラント
http://www.nadyadent.com/
名古屋発!もっと知りたいインプラント 名古屋発!もっと知りたいインプラント
無料相談会

資料請求

初診オンライン予約



歯周病治療










症例紹介

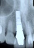
前歯が根っこから折れている

転倒時に強打し歯根から折れてしまった右の前歯を抜歯し、同時にインプラントを埋入してオールセラミッククラウンで治療しました。

前歯が根っこから折れている

前歯が根っこから折れている

前歯が根っこから折れている 前歯が根っこから折れている
インプラントを埋込しました。
X線で見るとインプラントの埋込がわかります。
期間/半年   インプラント費用/40万円
名古屋でのインプラント治療ならナディアパークデンタルセンター ナディアパークデンタルセンター お問い合わせ